Klinik Gigi Affordable Jakarta dengan Layanan Premium, Harga Terjangkau
Sedang cari klinik gigi Affordable Jakarta? Tentunya selama ini, banyak dari kita mungkin berpikir bahwa…
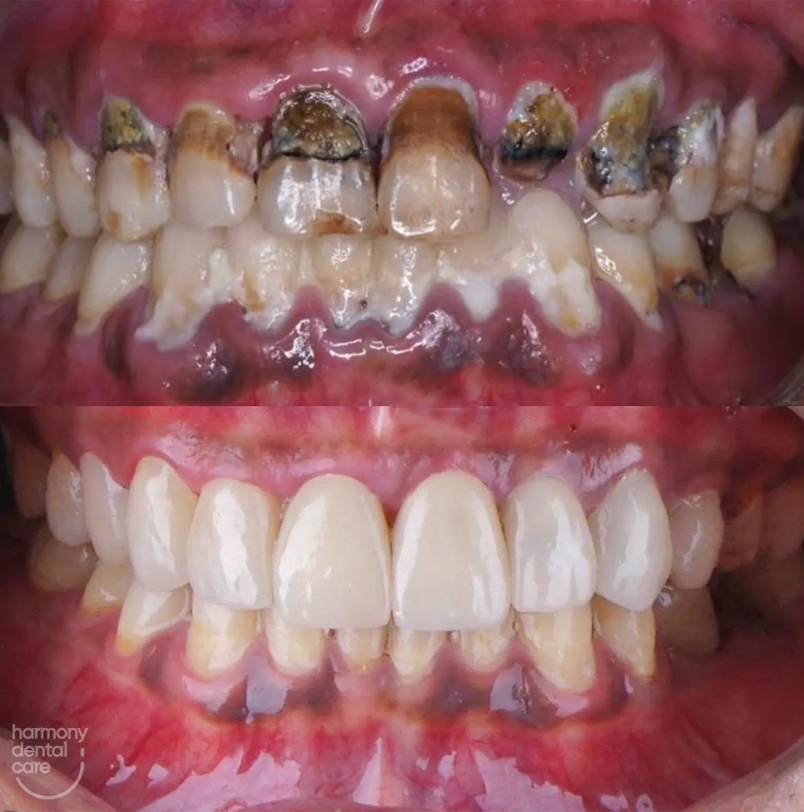
Harmony Dental menyediakan berbagai layanan untuk kebutuhan kesehatan gigi keluarga Anda—mulai dari pembersihan rutin, pencegahan, perawatan saluran akar, hingga pemasangan gigi palsu dan lainnya.




drg. Andri Sutanto lulus dari Universitas Trisakti pada Januari 2012 dan melanjutkan program pascasarjana di bidang Konservasi dan Endodontik di Universitas Trisakti, dengan predikat Cum Laude, pada tahun 2024.
Sebagai seorang endodontis, drg. Andri Sutanto, Sp.KG, menawarkan pendekatan konservatif dalam kedokteran gigi serta perawatan gigi yang komprehensif.
Sedang cari klinik gigi Affordable Jakarta? Tentunya selama ini, banyak dari kita mungkin berpikir bahwa…
Klinik Gigi Kebon Jeruk. Klinik gigi yang baik adalah yang mampu menawarkan dua hal sekaligus.…
Banyak dari kita punya kebiasaan menunda pergi ke dokter gigi. Entah karena sibuk, takut, atau…
8111622168
clinicharmonydental @gmail.com
Jl. Pluit Karang Utara no.129 Penjaringan Jakarta Utara 14450
Klinik gigi spesialis yang berlokasi di daerah Muara Karang, Pluit dan PIK yang menghadirkan layanan perawatan berkualitas tinggi dengan harga yang terjangkau.
Copyright Harmony Dental Clinic © 2024 All Rights Reserved.
Konsultasi bersama kami
Halo Harmony Dental Clinic.
Saya ingin konsultasi mengenai:
1. Keluhan / konsultasi:
2. Ingin dibuatkan jadwal hari / tanggal:
WhatsApp Us
🟢 Online | Privacy policy