Saraf Gigi Dimatikan Tapi Masih Sakit? Jangan Khawatir Ini Penjelasannya
Saraf gigi dimatikan tapi masih sakit adalah keluhan yang cukup sering terdengar di sesi konsultasi praktek dokter gigi. Banyak pasien […]
Saraf gigi dimatikan tapi masih sakit adalah keluhan yang cukup sering terdengar di sesi konsultasi praktek dokter gigi. Banyak pasien […]
Pertanyaan tentang apa itu Konservasi gigi sering kali muncul ketika seseorang diberi saran oleh dokter gigi untuk menjalani perawatan tertentu.
Lebih baik gigi palsu permanen atau lepasan? Pertanyaan ini sangat sering saya dengar di ruang praktik. Kehilangan gigi memang bukan
Pasta gigi pemutih tidak bisa dipilih secara sembarangan. Banyak produk di pasaran menjanjikan gigi putih dalam waktu singkat, tetapi tidak
Penyebab gigi sakit tapi tidak berlubang sering kali membuat pasien datang ke klinik dengan rasa bingung dan cemas. Banyak orang
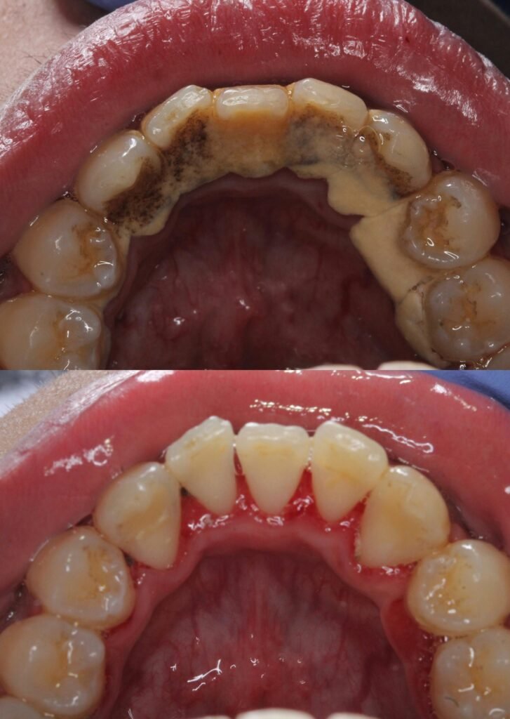
Scalling gigi apakah sakit? Pertanyaan ini hampir selalu muncul setiap kali pasien datang ke klinik dengan wajah ragu-ragu. Banyak orang
Banyak pasien yang datang ke klinik kami dengan satu kalimat yang hampir selalu sama, “Dok, sebenarnya sudah lama sakit, tapi
Banyak pasien yang datang ke klinik kami dengan satu pertanyaan yang sama: mengapa gigi saya tetap terlihat kuning padahal sudah
Perawatan Saluran Akar (PSA) gigi merupakan prosedur medis yang terukur, sistematis, dan dilakukan berdasarkan diagnosis klinis yang jelas. Tindakan ini
Perawatan saluran akar gigi atau yang sering dikenal dengan istilah PSA merupakan salah satu prosedur penting dalam dunia kedokteran gigi