Klinik Gigi Affordable Jakarta dengan Layanan Premium, Harga Terjangkau
Sedang cari klinik gigi Affordable Jakarta? Tentunya selama ini, banyak dari kita mungkin berpikir bahwa perawatan gigi yang premium selalu […]
Sedang cari klinik gigi Affordable Jakarta? Tentunya selama ini, banyak dari kita mungkin berpikir bahwa perawatan gigi yang premium selalu […]
Klinik Gigi Kebon Jeruk. Klinik gigi yang baik adalah yang mampu menawarkan dua hal sekaligus. Yakni perawatan medis yang tepat
Banyak dari kita punya kebiasaan menunda pergi ke dokter gigi. Entah karena sibuk, takut, atau merasa sakit giginya “masih bisa
Pergi ke dokter gigi kini bukan lagi sesuatu yang ditakuti atau ditunda-tunda. Bagi banyak orang, kunjungan rutin ke klinik dokter
Bicara soal perawatan gigi di Jakarta, kawasan Kelapa Gading memang sudah lama dikenal sebagai salah satu area dengan fasilitas kesehatan
Mencari perawatan gigi di Jakarta Utara memang tidak selalu mudah apalagi kalau Anda juga mempertimbangkan soal biaya, lokasi, dan kenyamanan.
Bleaching gigi kini menjadi salah satu prosedur perawatan gigi yang paling banyak diminati, baik oleh kalangan muda maupun dewasa. Bagi
Banyak orang berpikir bahwa mencabut gigi adalah solusi paling praktis ketika rasa sakit sudah tidak tertahankan. Padahal, tidak semua gigi
Banyak orang langsung merasa cemas bahkan putus asa begitu menyadari giginya mulai goyang. Pikiran pertama yang muncul biasanya sudah mengarah
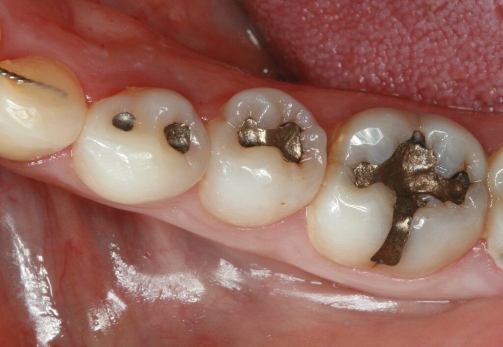
Perbedaan tambal gigi estetik dan biasa ternyata lebih kompleks dari yang kita bayangkan. Selama ini, sebagian besar menganggap tambal gigi