Perbedaan Tambal Gigi Estetik dan Biasa

Perbedaan Tambal Gigi Estetik dan Biasa serta Hal-hal yang Perlu Kamu Ketahui

Perbedaan tambal gigi estetik dan biasa ternyata lebih kompleks dari yang kita bayangkan. Selama ini, sebagian besar menganggap tambal gigi adalah prosedur sederhana ketika gigi berlubang, ditambal, selesai. Padahal kenyataannya tidak semudah itu. Ada beberapa jenis tambal gigi yang tujuannya berbeda, prosedurnya berbeda, dan tentu saja hasilnya pun berbeda. 

Tambal gigi biasa umumnya berfokus pada fungsi: menutup lubang, mencegah kerusakan lebih lanjut, dan mengembalikan kemampuan gigi untuk mengunyah. Sementara tambal gigi estetik melangkah lebih jauh selain memperbaiki fungsi, prosedur ini juga memperhatikan tampilan akhir gigi agar terlihat alami, rapi, bahkan lebih putih dari sebelumnya. Dua tujuan yang berbeda, dua pendekatan yang berbeda pula. Supaya Anda bisa membuat keputusan yang tepat sebelum duduk di kursi dokter gigi, ada baiknya pahami dulu seluk-beluknya.

Jenis-jenis dan Tujuan dalam Tambal Gigi

Secara umum, tambal gigi terbagi menjadi beberapa jenis berdasarkan material yang digunakan:

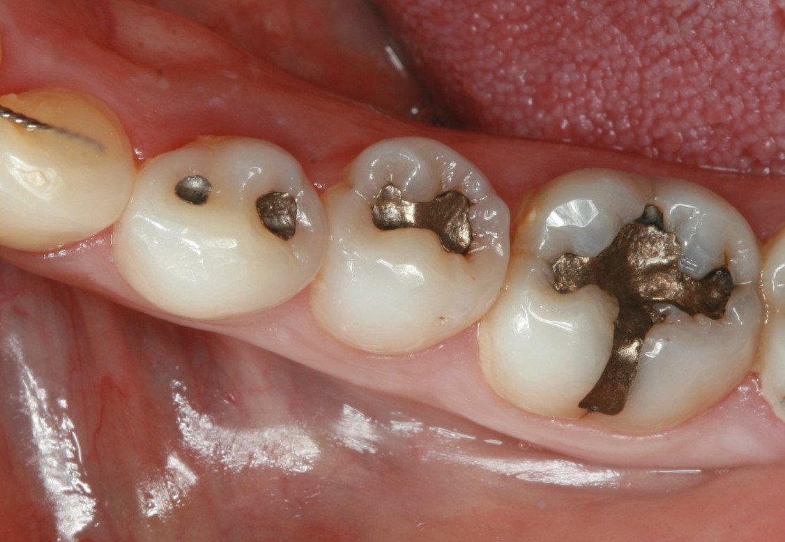
  1. Tambal Amalgam 

Ini adalah tambal gigi “klasik” yang sudah digunakan puluhan tahun. Warnanya abu-abu keperakan, sangat kuat, dan cocok untuk gigi geraham yang sering menerima tekanan besar saat mengunyah. Harganya relatif terjangkau, tapi penampilannya kurang estetis.

  1. Tambal Komposit 

Resin Bahan ini berwarna putih atau sewarna gigi, sehingga lebih banyak dipilih untuk gigi depan. Tambal komposit masuk dalam kategori estetik karena hasilnya terlihat lebih natural. Namun, daya tahannya sedikit lebih rendah dibanding amalgam jika digunakan pada gigi yang mengunyah berat.

  1. Tambal Porselen (Inlay/Onlay) 

Dibuat khusus di laboratorium sesuai bentuk gigi Anda, lalu direkatkan oleh dokter. Hasilnya sangat rapi dan tahan lama. Ini adalah pilihan premium dalam kategori estetik.

Tujuan utama tambal gigi adalah menghentikan kerusakan, mengembalikan fungsi gigit, dan dalam kasus estetik membuat gigi kembali sedap dipandang.

Apa yang Harus Diperhatikan Sebelum Menambal Gigi

Sebelum Anda memutuskan jenis tambalan yang akan digunakan, ada beberapa hal penting yang perlu Anda pertimbangkan:

  • Lokasi gigi yang berlubang. Gigi depan dan gigi belakang punya kebutuhan yang berbeda. Gigi depan lebih membutuhkan material estetik, sementara gigi geraham lebih butuh kekuatan.
  • Tingkat kerusakan gigi. Lubang yang kecil dan lubang yang sudah dalam memerlukan penanganan berbeda. Semakin parah kerusakannya, semakin kompleks prosedurnya.
  • Kondisi kesehatan gigi secara keseluruhan. Ada kemungkinan dokter perlu melakukan perawatan lain terlebih dahulu sebelum penambalan, misalnya perawatan saluran akar.
  • Budget yang dimiliki. Tambal gigi estetik secara umum lebih mahal karena material dan prosedurnya lebih kompleks.
  • Riwayat alergi. Beberapa orang memiliki sensitivitas terhadap material tertentu, jadi penting untuk dikomunikasikan ke dokter.

Perbedaan Mendasar Tambal Gigi Estetik dan Biasa

Jika dirangkum secara sederhana, perbedaan tambal gigi estetik dan biasa terletak pada tiga hal utama: material, tujuan, dan hasil akhir.

Tambal gigi biasa mengutamakan fungsi dan ketahanan. Dokter akan memilih material yang paling kuat dan sesuai untuk menahan tekanan kunyah, tanpa terlalu memperhatikan apakah warnanya menyatu dengan gigi asli. Prosedurnya pun cenderung lebih cepat dan lebih sederhana.

Hasil Tambal Gigi Porselen untuk Kebutuhan Estetika

Tambal gigi estetik, di sisi lain, menggabungkan fungsi dan estetika sekaligus. Material yang digunakan dipilih dengan cermat agar warnanya semirip mungkin dengan gigi asli Anda. Prosesnya bisa lebih memakan waktu karena dokter perlu menyesuaikan warna, bentuk, dan tekstur tambalan agar hasilnya terlihat natural dan menyatu sempurna.

Tambal Gigi Sementara/Biasa

Jadi itulah dua perbedaan mendasar tambal gigi estetik dan biasa. Sudah menentukan mana yang hendak anda jalankan di klinik gigi?

Lebih Mahal Mana, Tambal Gigi Estetik atau Biasa?

Jawabannya sudah cukup bisa ditebak: tambal gigi estetik umumnya lebih mahal. Bukan tanpa alasan material yang digunakan lebih premium, prosesnya lebih teliti, dan keahlian dokter yang dibutuhkan pun lebih tinggi.

Tambal amalgam bisa dimulai dari harga yang sangat terjangkau, sementara tambal komposit resin estetik bisa dua hingga tiga kali lipatnya, tergantung klinik dan tingkat kesulitannya. Untuk porselen (inlay/onlay), harganya bisa jauh lebih tinggi lagi karena melibatkan proses laboratorium.

Tapi perlu diingat ini bukan soal mahal atau murah saja. Ini soal upaya jangka panjang untuk menjaga kesehatan gigi dan menjaga kepercayaan diri Anda.

Ingin Tambal Gigi Estetik di Klinik Terbaik?

Bagi Anda yang berada di Jakarta dan sedang mencari tempat terpercaya untuk tambal gigi, baik estetik maupun biasa, Harmony Dental Clinic siap melayani Anda. Klinik kami berlokasi di Muara Karang, Penjaringan, Jakarta Utara mudah dijangkau dari berbagai penjuru kota.

Tim dokter kami berpengalaman dalam berbagai prosedur tambal gigi dan siap membantu Anda menentukan pilihan terbaik sesuai kebutuhan dan kondisi gigi Anda. Konsultasi ramah, prosedur nyaman, hasil yang memuaskan.Untuk reservasi atau pertanyaan lebih lanjut, langsung hubungi admin kami di 08111622168. Jangan tunda lagi gigi yang sehat dan indah bukan kemewahan, tapi kebutuhan.

Scroll to Top