Contoh Crown Gigi Depan – Gigi yang rumpang, patah, atau retak parah memang bisa membuat rasa percaya diri seseorang menurun drastis apalagi kalau letaknya di bagian depan yang langsung terlihat saat Anda tersenyum atau berbicara. Di sinilah crown gigi hadir sebagai solusi andalan. Crown atau mahkota gigi adalah penutup berbentuk menyerupai gigi asli yang dipasang di atas gigi yang sudah rusak, sehingga fungsi sekaligus penampilannya bisa kembali seperti semula. Bagi banyak orang, prosedur ini bukan sekadar urusan kesehatan, tapi juga menyangkut estetika dan kualitas hidup sehari-hari.
Namun perlu Anda pahami, memasang crown gigi terutama di bagian depan bukanlah hal yang bisa dilakukan sembarangan. Salah pilih material atau salah eksekusi, hasilnya bisa terlihat tidak natural, bahkan mencolok dan aneh dipandang.
Artikel ini akan membahas tuntas mulai dari kondisi yang mengharuskan pemasangan crown, hal-hal yang perlu diperhatikan, hingga contoh crown gigi depan yang bisa menjadi referensi Anda.
Kondisi Apa yang Menyebabkan Crown Harus Dipasang di Gigi?
Tidak semua kondisi gigi rusak memerlukan crown. Ada kriteria tertentu yang membuat prosedur ini menjadi pilihan terbaik, di antaranya:
Gigi berlubang yang terlalu besar untuk ditambal biasa. Ketika lubang pada gigi sudah terlalu luas, tambalan biasa tidak akan cukup kuat menahan tekanan saat mengunyah. Crown menjadi solusi yang lebih permanen dan tahan lama.
Gigi retak atau patah. Gigi yang retak memang kadang tidak langsung terasa sakit, tapi retakan itu bisa meluas dan memperparah kerusakan jika tidak segera ditangani. Crown berfungsi “memeluk” gigi yang retak agar tidak semakin parah.
Gigi yang aus parah. Kebiasaan menggeretakkan gigi (bruxism) atau konsumsi makanan asam berlebihan bisa membuat email gigi terkikis secara signifikan. Crown membantu mengembalikan ketinggian dan fungsi gigitan.
Apa yang Harus Diperhatikan Sebelum Pasang Crown Gigi?
Sebelum Anda memutuskan untuk memasang crown, ada beberapa hal penting yang perlu diperhatikan agar hasilnya benar-benar memuaskan:
Pilih material yang tepat. Untuk gigi depan, material yang paling direkomendasikan saat ini adalah zirconia atau full ceramic karena keduanya menawarkan estetika tinggi dengan warna yang bisa disesuaikan persis seperti gigi asli Anda.
Perhatikan warna gigi asli Anda. Dokter gigi akan menggunakan shade guide untuk mencocokkan warna crown dengan gigi di sekitarnya. Jangan sampai crown Anda terlalu putih atau terlalu gelap dibanding gigi lainnya.
Kondisi gigi dan gusi harus sehat terlebih dahulu. Jika ada infeksi, peradangan gusi, atau abses, kondisi tersebut harus ditangani dulu sebelum crown dipasang. Memasang crown di atas gigi yang bermasalah hanya akan memperburuk keadaan.
Prosedur Pemasangan Crown Gigi yang Sesuai Standar Medis
Proses pemasangan crown tidak bisa dilakukan dalam satu kunjungan saja. Berikut tahapannya secara umum:
- Konsultasi dan pemeriksaan awal. Dokter akan memeriksa kondisi gigi Anda secara menyeluruh, termasuk rontgen jika diperlukan, untuk memastikan gigi siap menerima crown.
- Preparasi gigi. Gigi akan dibentuk ulang sedikit dipahat di bagian luar agar crown bisa terpasang dengan pas dan tidak terasa terlalu besar di mulut Anda.
- Pengambilan cetakan. Cetakan gigi diambil untuk dijadikan acuan pembuatan crown yang presisi. Saat ini banyak klinik modern sudah menggunakan teknologi digital scanning yang lebih akurat.
- Pemasangan crown sementara. Selama crown permanen dibuat (biasanya memakan waktu beberapa hari hingga dua minggu), Anda akan dipasangkan crown sementara untuk melindungi gigi.
- Pemasangan crown permanen. Setelah crown permanen selesai, dokter akan memastikan ukuran, warna, dan gigitan sudah pas sebelum merekatkannya secara permanen.
Crown Gigi Depan: Tips Memilih, Memasang, dan Contohnya
Inilah bagian yang paling banyak dicari contoh crown gigi depan dan bagaimana cara memilihnya agar hasilnya natural. Berikut beberapa tips praktis yang bisa Anda jadikan panduan:
Pilih zirconia untuk hasil terbaik. Zirconia saat ini menjadi standar emas untuk crown gigi depan karena kuat, tahan lama, dan tampilannya sangat mirip gigi asli. Banyak contoh crown gigi depan berbahan zirconia yang hasilnya hampir tidak bisa dibedakan dari gigi alami.


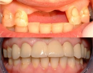
Contoh Crown Gigi Depan
Komunikasikan ekspektasi Anda dengan jelas. Sebelum proses dimulai, diskusikan dengan dokter gigi Anda seperti apa hasil akhir yang Anda inginkan. Beberapa klinik bahkan menyediakan simulasi digital agar Anda bisa melihat gambaran hasilnya terlebih dahulu.
Perhatikan kontur dan proporsi. Crown yang bagus bukan hanya soal warna, tapi juga bentuk. Crown harus mengikuti kontur gigi asli dan proporsional dengan gigi di sampingnya agar senyum Anda terlihat harmonis.
Ingin Pasang Crown Gigi?
Jika Anda berada di Jakarta dan sedang mempertimbangkan untuk pasang crown gigi baik untuk kebutuhan estetika maupun fungsional Harmony Dental Jakarta siap membantu Anda. Kami berlokasi di Muara Karang, Jakarta Utara, dan melayani berbagai prosedur perawatan gigi termasuk pemasangan crown dengan material berkualitas tinggi dan hasil yang natural. Selain di Muara Karang, kami juga menjadi klinik gigi di Pluit yang terbaik.
Untuk reservasi kedatangan, Anda bisa langsung menghubungi admin kami melalui WhatsApp di 08111622168. Konsultasikan kebutuhan Anda, dan kami akan bantu menemukan solusi terbaik untuk senyum yang lebih percaya diri!



