Banyak orang langsung merasa cemas bahkan putus asa begitu menyadari giginya mulai goyang. Pikiran pertama yang muncul biasanya sudah mengarah ke satu kesimpulan: gigi ini harus dicabut. Padahal, tidak selalu begitu. Pengertian splinting gigi perlu lebih banyak orang ketahui, karena teknik ini hadir sebagai solusi nyata bagi Anda yang tidak ingin kehilangan gigi asli hanya karena kondisinya mulai tidak stabil. Dengan penanganan yang tepat, gigi goyang bisa diselamatkan dan dikembalikan seperti semula.
Splinting gigi adalah prosedur di mana gigi yang goyang “disatukan” dengan gigi-gigi di sekitarnya menggunakan material khusus seperti fiber atau kawat, sehingga beban yang diterima gigi tersebut bisa tersebar merata dan tidak lagi mengandalkan satu gigi yang lemah seorang diri. Hasilnya, gigi yang tadinya goyah menjadi lebih stabil, lebih kuat, dan Anda tidak perlu kehilangan gigi asli Anda. Tentunya ini kabar baik, bukan?
Berbagai Penyebab Gigi Goyang yang Mengharuskan Dilakukan Splinting
Sebelum membahas lebih jauh soal prosedurnya, penting untuk memahami apa saja yang bisa membuat gigi menjadi goyang. Tidak semua kasus gigi goyang disebabkan oleh hal yang sama, dan penyebabnya pun menentukan apakah splinting adalah pilihan yang tepat untuk Anda.
Penyakit periodontal (gusi) adalah penyebab paling umum. Ketika jaringan gusi dan tulang penyangga gigi rusak akibat infeksi bakteri yang tidak ditangani, gigi kehilangan pondasinya dan mulai bergerak. Ini yang paling sering dijumpai di klinik gigi.
Trauma atau benturan keras pada area mulut juga bisa membuat gigi tiba-tiba goyang, meski sebelumnya kondisi gigi tersebut baik-baik saja. Kecelakaan, benturan saat olahraga, atau jatuh bisa jadi pemicunya.
Kebiasaan bruxism yaitu menggertakkan atau menggesekkan gigi tanpa sadar, biasanya saat tidur memberikan tekanan berlebih pada gigi secara terus-menerus hingga lama-kelamaan gigi menjadi longgar.
Faktor usia dan penurunan kepadatan tulang juga berperan. Semakin bertambah usia, kepadatan tulang rahang bisa berkurang, dan ini berdampak langsung pada kestabilan gigi.
Splinting sebagai Opsi Utama Gigi Goyang Tanpa Harus Mencabut
Inilah yang membuat splinting menjadi prosedur yang begitu berharga: Anda tidak harus kehilangan gigi asli Anda. Gigi asli, bagaimanapun juga, selalu lebih baik dari gigi tiruan baik dari sisi fungsi, kenyamanan, maupun estetika.
Dengan memahami pengertian splinting gigi, Anda akan sadar bahwa prosedur ini bukan sekadar “solusi sementara.” Dalam banyak kasus, splinting bisa menjadi penanganan jangka panjang yang efektif, terutama jika dikombinasikan dengan perawatan periodontal yang menyeluruh. Gigi yang tadinya dianggap sudah tidak bisa diselamatkan, ternyata masih bisa dipertahankan dengan pendekatan yang tepat.

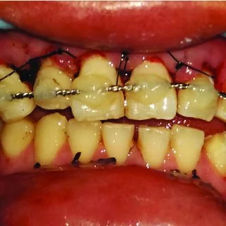
Proses Splinting Gigi pada Kasus Gigi Goyang/Gusi Rentan
Prosedur Splinting Gigi yang Sesuai Standar Medis
Prosedur splinting dilakukan oleh dokter gigi, idealnya yang memiliki keahlian di bidang periodontologi atau prostodonti. Secara umum, langkah-langkahnya adalah sebagai berikut:
Pertama, dokter akan melakukan pemeriksaan menyeluruh, termasuk rontgen gigi, untuk menilai kondisi tulang dan jaringan penyangga di sekitar gigi yang goyang. Dari sini, dokter bisa menentukan apakah splinting memang langkah yang paling sesuai.
Setelah diagnosis ditegakkan, dokter akan membersihkan area gigi dan gusi terlebih dahulu terutama jika ada plak, karang gigi, atau infeksi yang perlu diatasi sebelum splinting dilakukan. Ini penting agar proses penyembuhan bisa berjalan optimal.
Kemudian, material splint biasanya berupa fiber resin atau kawat tipis dipasang di permukaan dalam gigi yang goyang, menghubungkannya dengan gigi-gigi tetangga yang stabil. Material ini kemudian dikunci dengan resin komposit agar menempel kuat namun tetap nyaman di mulut.
Seluruh prosedur umumnya tidak membutuhkan waktu lama dan bisa dilakukan dalam satu kali kunjungan, tergantung tingkat keparahannya.
Ada Berapa Jenis Splinting Gigi dan Berapa Lama Prosesnya?
Secara umum, splinting dibagi menjadi dua jenis utama:
Splinting sementara digunakan dalam masa perawatan aktif, misalnya selama pasien menjalani terapi periodontal. Tujuannya untuk menstabilkan gigi sementara jaringan penyangga pulih. Durasinya bisa beberapa minggu hingga beberapa bulan.
Splinting permanen dipilih ketika kerusakan jaringan penyangga sudah cukup parah dan gigi membutuhkan dukungan jangka panjang. Jenis ini dirancang untuk bertahan dalam jangka waktu yang lebih panjang dan biasanya menggunakan material yang lebih kuat.
Memahami pengertian splinting gigi lebih dalam juga berarti memahami bahwa hasil akhirnya sangat bergantung pada kondisi awal pasien, kepatuhan dalam menjaga kebersihan mulut setelah prosedur, serta rutinitas kontrol ke dokter gigi. Dengan perawatan yang baik, splinting bisa bertahan bertahun-tahun dan membuat gigi Anda kembali berfungsi normal.
Gigi Anda Goyang dan Tidak Stabil?
Jangan tunda penanganannya. Semakin cepat ditangani, semakin besar peluang gigi Anda untuk diselamatkan tanpa harus dicabut.
Langsung agendakan perawatan splinting gigi di Harmony Dental Clinic (Klinik Gigi Pluit Terbaik). Kami melayani prosedur ini dengan bantuan dokter profesional yang berpengalaman, dalam lingkungan klinik yang nyaman dan bersih. Untuk reservasi kedatangan tanpa perlu antre, langsung hubungi admin kami melalui WhatsApp di 08111622168. Gigi goyang bukan akhir segalanya dengan penanganan yang tepat, senyum Anda bisa kembali seperti semula. Untuk melihat profil dokter kami yang salah satunya adalah drg. Andri Sutanto, Sp. KG anda bisa menyimaknya di sini https://harmonydentaljakarta.com/.



