Gigi berlubang adalah masalah kesehatan mulut yang sangat umum dialami oleh banyak orang. Pada tahap awal, lubang kecil yang terbentuk masih dapat ditangani dengan prosedur penambalan yang cukup sederhana. Namun, ketika lubang dibiarkan terlalu lama tanpa perawatan, kondisinya bisa berkembang hingga ke tahap yang lebih serius. Gigi berlubang yang tidak bisa ditambal merupakan kondisi yang terjadi ketika kerusakan sudah terlalu dalam atau meluas, sehingga prosedur penambalan biasa tidak lagi cukup untuk memulihkan fungsi dan struktur gigi.
Lalu, jika gigi tidak bisa ditambal lagi, harus bagaimana? Jawabannya bergantung pada seberapa parah kerusakan yang terjadi. Beberapa kondisi mungkin masih bisa diselamatkan melalui perawatan saluran akar atau prosedur restorasi lainnya, namun ada pula kondisi yang mengharuskan tindakan pencabutan gigi. Artikel ini akan membahas secara lengkap apa saja ciri-ciri gigi berlubang yang sudah tidak bisa ditambal, apa penyebabnya, dan bagaimana penanganan yang tepat untuk setiap kondisi tersebut.
Penyebab Gigi Berlubang Semakin Besar
Gigi berlubang tidak terbentuk secara tiba-tiba. Ada proses bertahap yang terjadi, dimulai dari penumpukan plak bakteri di permukaan gigi. Bakteri ini menghasilkan asam yang secara perlahan mengikis lapisan pelindung gigi, yaitu email. Jika tidak segera ditangani, kerusakan akan merambat ke lapisan dentin, lalu ke pulpa (bagian inti gigi yang mengandung saraf dan pembuluh darah).
- Beberapa faktor yang mempercepat proses ini antara lain:
- Jarang menyikat gigi atau teknik menyikat gigi yang salah.
- Kebiasaan mengonsumsi makanan dan minuman manis atau asam secara berlebihan.
- Tidak rutin melakukan pemeriksaan gigi ke dokter gigi.
- Kondisi mulut kering yang mengurangi produksi air liur sebagai pelindung alami.
- Riwayat gigi berlubang yang dibiarkan tanpa penambalan.
Ketika faktor-faktor di atas tidak diatasi, lubang pada gigi akan terus membesar. Inilah mengapa penanganan sejak dini sangat penting agar gigi masih bisa diselamatkan dengan penambalan.
Ciri Gigi Berlubang yang Sulit Ditambal

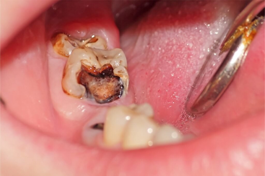
Gigi berlubang yang tidak bisa ditambal umumnya menunjukkan beberapa tanda klinis yang dapat diidentifikasi oleh dokter gigi melalui pemeriksaan langsung dan foto rontgen. Berikut adalah ciri-ciri utamanya:
1. Lubang sudah mencapai pulpa (saraf gigi). Ketika kerusakan sudah menyentuh jaringan pulpa, bakteri telah menginfeksi bagian paling dalam gigi. Kondisi ini biasanya ditandai dengan rasa nyeri yang berdenyut, sensitif terhadap panas dan dingin, hingga pembengkakan di sekitar gusi. Pada tahap ini, penambalan biasa tidak lagi efektif karena perlu tindakan perawatan saluran akar terlebih dahulu.
2. Mahkota gigi sudah hancur atau rapuh. Jika kerusakan telah menggerogoti sebagian besar mahkota gigi, tidak ada cukup struktur gigi yang tersisa untuk menopang bahan tambal. Bahan tambal membutuhkan “pegangan” dari jaringan gigi yang sehat. Tanpa itu, tambalan tidak akan bertahan lama dan gigi berisiko patah.
3. Terdapat infeksi atau abses. Abses gigi adalah kantong nanah yang terbentuk akibat infeksi bakteri. Jika sudah terdapat abses, proses penambalan tidak dapat dilakukan sebelum infeksi tertangani. Gigi dengan abses yang parah seringkali memerlukan pencabutan.
4. Akar gigi sudah terlibat (resorpsi akar). Dalam beberapa kasus, kerusakan tidak hanya di mahkota tetapi juga sudah memengaruhi struktur akar gigi. Kondisi ini membuat gigi tidak lagi memiliki fondasi yang cukup kuat.
5. Gigi sudah goyang. Kegoyangan gigi menandakan jaringan pendukung di sekitar gigi (tulang dan gusi) sudah mengalami kerusakan serius, yang seringkali disertai penyakit periodontal. Pada kondisi ini, penambalan tidak akan menyelesaikan masalah utama.
Lalu, Apa Solusinya?
Meski gigi tidak bisa lagi ditambal secara konvensional, bukan berarti tidak ada solusi. Dokter gigi akan memilih tindakan yang paling sesuai berdasarkan kondisi gigi pasien:
• Perawatan Saluran Akar (PSA/Endodontik): Dilakukan ketika infeksi sudah mencapai pulpa. Prosedur ini membersihkan jaringan pulpa yang terinfeksi, kemudian mengisi saluran akar dan menutupnya dengan mahkota gigi (crown).
• Mahkota Gigi (Crown): Jika struktur gigi masih bisa dipertahankan tetapi sudah terlalu rapuh untuk ditambal biasa, dokter gigi dapat memasang mahkota gigi sebagai pelindung.
• Pencabutan Gigi: Dilakukan sebagai pilihan terakhir ketika gigi sudah tidak bisa diselamatkan sama sekali. Setelah pencabutan, pasien dapat memilih opsi penggantian gigi seperti implan, jembatan gigi, atau gigi tiruan.
Yang terpenting, jangan menunda-nunda pemeriksaan. Semakin cepat kondisi gigi dievaluasi, semakin besar peluang untuk mendapatkan penanganan yang lebih ringan dan hemat biaya.
Ingin Melakukan Pengobatan dan Perawatan Lubang Gigi di Tempat yang Profesional?
Kami sangat menyarankan Anda untuk mempercayakan perawatan gigi kepada tenaga profesional yang berpengalaman. Bagi Anda yang berada di Jakarta, Harmony Dental Clinic siap memberikan layanan perawatan dan pengobatan gigi yang komprehensif, mulai dari konservasi gigi, perawatan saluran akar (endodontik), hingga berbagai prosedur restoratif lainnya.
Didampingi oleh drg. Andri Sutanto, Sp.KG, seorang spesialis konservasi gigi yang berpengalaman dan dokter gigi di Muara Karang berpengalaman, Anda akan mendapatkan penanganan terbaik sesuai kondisi gigi Anda. Kesehatan gigi Anda adalah prioritas kami di Harmony Dental Clinic.
Reservasi untuk Kedatangan
Untuk reservasi tanpa antri dan kemudahan jadwal kunjungan Anda, silakan hubungi Customer Service kami: 08111622168. Untuk informasi selengkapnya simak di sini https://harmonydentaljakarta.com/.



